Im Laufe seines Lebens legt der Mensch Tausende von Kilometern zurück, sofern die Füße gesund sind. Unsere Mobilität steht in unmittelbarem Zusammenhang mit funktionsfähigen Füßen und Fußgelenken.
Fast jeder Mensch bekommt irgendwann Probleme mit den Füßen. Es können Knorpelverletzungen, Überlastungen oder Verschleißerscheinungen der Gelenke auftreten, wie auch komplexe angeborene oder erworbene Fehlstellungen. Band- und Sehnenverletzungen können ebenso Probleme verursachen wie Fehlstellungen der Groß- oder der Kleinzehen.
Der menschliche Fuß ist ein ausgesprochen komplexes mechanisches Konstrukt, bestehend aus knapp 30 Knochen und einer entsprechenden Zahl von Gelenkverbindungen.
Eine Vielzahl von Veränderungen am Fuß oder Erkrankungen können die Fußgesundheit und die Mobilität stark beeinträchtigen. Oft drückt dann der Schuh im wahrsten Sinne des Wortes.
Operative Maßnahmen erfolgen in der Regel erst nach Ausschöpfung von konservativen Behandlungsnahmen.
Typische Erkrankungen
Vorfußfehlstellungen
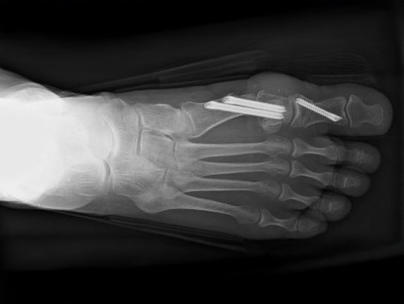
Fehlstellungen der Zehen sind ausgesprochen häufig, allen voran der Hallux valgus. Im frühen Stadium kann man üblicherweise mit gutem Schuhwerk, Einlagen und Fußgymnastik viel erreichen. Fortbestehende Beschwerden und fortschreitende Erkrankungen sind mit einer operativen Korrektur gut behandelbar. Hier nutzen wir zunehmend möglichst minimalinvasive Techniken (sogenannte „Schlüssellochtechnik“).
Für mehr Informationen bietete die ARD-Mediathek einen Beitrag von Dr. Reinert mit dem Titel „Die häufigste Fußdeformation – Hallux Valgus“: Link zur ARD-Mediathek
Verletzungen von Bändern und Sehnen
Im Rahmen von Unfällen oder Fehlstellungen kann es zu Rissen oder Überlastungen von Bändern oder Sehnen kommen. Während reine Reizungen meist ohne Operation heilen, kann man bei strukturellen Schäden durch verschiedene operative Techniken die Stabilität zurückgewinnen.
Fersenschmerzen
Während die sogenannten Fersesporn-Beschwerden im Bereich der Fußsohle zumeist konservativ sehr gut behandelt werden können, werden der oberer Fersensporn (Haglund-Ferse) sowie Ansatzbeschwerden der Achillessehne häufig operativ behandelt.
Komplexe Fehlstellungen
Schwere Fehlstellungen können angeboren bestehen (Klumpfuß, Hohlfuß oder Plattfuß) aber auch im Rahmen von Erkrankungen wie Rheuma, Diabetes oder im Rahmen von Lähmungen oder Spastiken entstehen. Sie bereiten dann häufig durch Überlastungen der Gelenke erhebliche Beschwerden. Unbehandelt können sie so zu Problemen der gesamten unteren Extremität und sogar der Wirbelsäule führen. Mit modernsten Operationstechniken können Fehlstellungen korrigiert und Funktion sowie Wohlbefinden zurückgewonnen werden. Hier kommen sowohl gelenkerhaltende als auch gelenkversteifende Maßnahmen zur Anwendung.
Knorpelschäden und Arthrose
In der modernen Fuß- und Sprunggelenkchirurgie werden Gelenke mit Knorpelschäden nach erfolgloser konservativer Therapie nicht immer sofort versteift, sondern wenn möglich rekonstruiert. Auch fortgeschrittene Beschwerden können häufig durch gelenkerhaltende Operationen gelindert werden. Wir sind bestrebt, solche Eingriffe möglichst arthroskopisch und minimalinvasiv durchzuführen.
Ausgeprägte Arthrosen des oberen Sprunggelenkes können wir mit einem Kunstgelenk behandeln, Versteifungsoperationen, die sogenannten Arthrodesen des oberen Sprunggelenkes, müssen zunehmend seltener in der Behandlung der Arthrose des oberen Sprunggelenkes durchgeführt werden.
Behandlungsspektrum
Stationäre Operationen
Fuß
Korrektur von Fehlstellungen der Großzehe (Hallux valgus, Hallux varus)
Operative Korrektur von Krallen- und Hammerzehen
Korrekturoperationen bei Zehenfehlstellungen
Umstellungsoperationen bei Fußdeformitäten
Korrekturen bei unfall- und erkrankungsbedingter Fehlbildung
Minimalinvasive OP-Techniken insbesondere bei Hallux valgus, Spreizfuß, Krallenzehen und Plattfuß
Sprunggelenk
Gelenkerhaltende arthroskopische und offene Operationen
Knorpeltherapie
Bandstabilisierende Operationen
Sehnen- und Muskeloperationen
Versteifungsoperationen bei Arthrose
Implantation von Sprunggelenksprothesen
Umstellungsoperationen Fehlstellungen des oberen und unteren Sprunggelenkes
Resektion des oberen Fersensporns (Haglund), unter Ablösung und Refixation der Achillessehne, Fersenbeinumstellungen
Ihre Ansprechpartner
Dr. med. Mark Reinert
Leitender Arzt Fuß- und Sprunggelenkschirurgie
Facharzt für Orthopädie und Unfallchirurgie, spezielle Unfallchirurgie, Sportmedizin, Manuelle Medizin, Notfallmedizin, D-Arzt, Zertifikat Fußchirurg
Dr. Burkhardt Muschalik
Chefarzt
Facharzt für Orthopädie, Unfallchirurgie, Sportmedizin, Chirotherapie, Röntgendiagnostik
Prof. Dr. Konstantinos Anagnostakos
Chefarzt
Facharzt für Orthopädie und Unfallchirurgie, spezielle orthopädische Chirurgie, physikalische Therapie, Fachgebundene Skelettradiologie
Sie sehen gerade einen Platzhalterinhalt von Facebook. Um auf den eigentlichen Inhalt zuzugreifen, klicken Sie auf die Schaltfläche unten. Bitte beachten Sie, dass dabei Daten an Drittanbieter weitergegeben werden.
Sie sehen gerade einen Platzhalterinhalt von Instagram. Um auf den eigentlichen Inhalt zuzugreifen, klicken Sie auf die Schaltfläche unten. Bitte beachten Sie, dass dabei Daten an Drittanbieter weitergegeben werden.
Sie sehen gerade einen Platzhalterinhalt von Newsletter2Go. Um auf den eigentlichen Inhalt zuzugreifen, klicken Sie auf die Schaltfläche unten. Bitte beachten Sie, dass dabei Daten an Drittanbieter weitergegeben werden.
Sie sehen gerade einen Platzhalterinhalt von X. Um auf den eigentlichen Inhalt zuzugreifen, klicken Sie auf die Schaltfläche unten. Bitte beachten Sie, dass dabei Daten an Drittanbieter weitergegeben werden.